A na-eme usoro a na ọgwụgwọ nke ọgwụgwọ osteochondrosis, bu n'obi na -ebelata
ogo mgbu, ike. Usoro ọgwụgwọ ahụ na-eji ọgwụ nje ma na-anyụwanye ihe, physiotheapy, oge gboo na acupuncture, na-emega ahụ, na aculicated. Ọ bụrụ na usoro ọgwụgwọ na-enweghị ike anaghị arụ ọrụ, arụ ọrụ ịwa ahụ.
Mgbaàmà nke ọrịa
Na ọkwa mbụ nke mmepe, osteochondrosis bụ asymptomatic. Mgbe ogologo oge na isi anụ ahụ kpọrọ isi ma ọ bụ mmega ahụ siri ike, ahụ erughị ala na-apụta n'azụ olu. Onye ọrịa ahụ adịghị ọsọ ọsọ ịhụ dọkịta, na-emehie ha maka nsonaazụ nke nsogbu akwara. Atsology ji nwayọ nwayọ ma na-enwe ọganihu.


Ahụ erughị ala n'olu na-eji nwayọọ nwayọọ dochie olu, na-egbu mgbu na olu, na-esiwanye elu mgbe ị ga-ebuli elu, hypothermia, ma ọ bụ mgbanwe na ihu igwe. Ihe mgbaàmà ndị ọzọ akọwapụtara nke osteochondrosis na-apụta:
- Ingsụ, ịpị mgbe ị na-emegharị ma ọ bụ tụgharịa isi;
- Achichaghi anya na spain cervical;
- ihe mgbu dị nkọ n'oge ọgbụgba.
Dịka ihe na - adịghị mma na - etinye na vertebrae na - eme ihe, ọnọdụ onye ọrịa ahụ na-akawanye njọ. Usoro osteochondrosis na-esite site na mgbaàmà na-agbagharị site na mkpakọ site na mkpakọ site na osteophytes ma ọ bụ protosion nke obere mgbọrọgwụ na akwara ọbara. Isi ọwụwa, mmiri na-agbanwe agbanwe na ọbara mgbali ọbara na-apụta, na ụdị visual na ịnụ ihe mmegharị na-ebelata.
Usoro ọgwụgwọ maka osteochondrosis cervical
Enweghị ọgwụ ndị eji eji eji eme ihe ga-eweghachi usoro nghọta. Ma enwere ike ime ka ọdịmma onye ọrịa meziwanye ma kwụsị mgbasa nke ọrịa. O zughị oke ịkpụ ma ọ bụ tinye mmanụ - ịkwesịrị ime ọgwụgwọ anụ ahụ kwa ụbọchị, gaa n'ụlọ ịhịa aka n'ahụ na ihe omume physotherapeutic.

Usoro ọgwụgwọ ọgwụ
A na-eji ọgwụ ọgwụ iji kpochapụ ihe mgbaàmà nke osteochondrosis nke cervical, gụnyere ịhazi mgbasa ọbara na ngụkọta akụkụ nke diski. N'ihi enweghị njiri mara na mbido mbụ, ndị ọrịa na-echigharịkwuru ndị dọkịta na-arịa ọrịa ma ọ bụ na-arịa ọrịa akwara nke 2 na afọ atọ nke ogo. Ọtụtụ mgbe, ha etolitela na-enwe nsogbu na-agbanwe agbanwe - Ntinye Hernia, Promtudion, ọrịa akwara. Ya mere, ndị dọkịta na-agụnye na usoro ọgwụgwọ ọ bụghị naanị analgescs, kamakwa ụzọ ọ ga-esi melite intervavan, akwara na-eme ka akwara dị mma, ma weghachi traople.
Ndị NSAID
Na osteochondrosis nke usoro 2-3 nke 2-3 na-eme mkpesa nke nkọ, na-akụ mgbu nke na-eme mgbe ị na-emegharị ma ọ bụ tụgharịa isi. N'ụdị ndị ahụ, a na-edetu ha ọgwụ mgbochi mgbochi mgbochi. N'ihi oke mgbu, ntụtụ in cramuscular na-eme - diclofenac, meroxicam, lornoxicam, ketorolam. Ọgwụ ndị ahụ enweghị naanị analgesic, kamakwa mgbochi mkpali na anti-echematious mmetụta. Nke a bụ eziokwu karịsịa mgbe anụ ahụ dị nro merụrụ ahụ site na diski na-adịghị mma ma ọ bụ osteopyte.
Ọ bụrụ na mgbu adịghị oke egwu ma na-apụta site n'oge ruo n'oge, a na-eji ndị nọ na mbadamba ma ọ bụ capsules eme ihe:
- Nmemelide;
- Keetorolac;
- Diclofenac;
- Celecoxim;
- Etricoxib.
MezucIc ndị na-egbu egbu na afọ, ka ha na-enye mmụba ụba nke hydrochloric acid. Iji kpochapụ ohere mbibi nke mucosa, ọ dị mkpa iji mmiri na-egbochi ndị na-egbochi ndị nasi.
A na-eji mmanu na gels mee ihe mgbu dị nro na-enye onye ọrịa ahụ mgbe ihu igwe gbanwere ma ọ bụ hypothermia. Ọtụtụ mgbe, usoro ọgwụgwọ gụnyere Diclofenac, Ketoprofen, Artrosilene, Pioxicam, Ibiprofen.
Homonụ
Ọ bụrụgodị na ọ bụrụ na ị ga - enwe arụmọrụ nke ndị NSADOD na - enwe mmetụta nke ọma, mgbe ahụ, ndị ọrụ Hormonal nwere, triamcinolone, byamethasone, dexamethasone, dexamethasone. A na-amata ihe odide ndị ahụ site na analgetted, mgbochi mkpali, na ihe mgbochi. A na-ejikarị ọgwụ ọjọọ maka mgbochi ọgwụ na-egbochi Lidocaic na Paraine. Ofzọ nchịkwa ọgwụ a na-eme ka ichekwaa nke analgesic mmetụta ọtụtụ ụbọchị na mgbe ụfọdụ izu.
Ma glucocortostostoids ezubeghi maka iji ya ugboro ugboro. Ha bụ ndị na-egbu egbu na akụkụ ahụ dị n'ime ma na-emebi, ọkpụkpụ, na-adọkpụ. Ọgwụ Hormonal nwekwara ọgwụ na-arụrụ ahụhụ, nke na-emetụta usoro ahụ ji alụso ọrịa ọgụ.
Aenestetics
A na-ejikarị Lidocaine na Novocaine (Pronoine) na-ejikarị ọgwụgwọ osteochondrosis cervicalrosis ọgwụ. Nke ikpeazụ a na-egosipụta mmetụta a na-akpọ Aelsic ya na ọtụtụ ngwa. Edebere Novocaine na ọgwụgwọ nje na-egosi nsogbu na-enye nsogbu iji gbochie akwara ozi na akwara. Ọ bụ mmebi nke ọkpụkpụ site na ostephytes ma ọ bụ prosusion nke na-eme ka nnukwu ihe mgbu.
A na-eji Lidocaine abụghị naanị maka mgbochi. Nke a bụ otu n'ime ihe ndị na-arụ ọrụ nke tolpersose injection ngwọta, akwara ike na-ewepụsịlata akwara. A na-etinye Lidiane na nkwadebe nke nwere vitamin.

Ndị na-enye akwụkwọ na-akpasu iwe
Ominye, gels, ọnya na-ekpo ọkụ na-ewe iwe na mpaghara obodo na-ewe iwe maka ọgwụgwọ osteochondrosis cersteochondrosis, kama ọ bụ naanị na enweghị ọnya nke anụ ahụ dị nro. Ha nwere ike ịnwe Camphor, Menthol, turperine, na-acha uhie uhie na-ekpo ọkụ, Nicoboxil, adịchaghị, agwọ ma ọ bụ anu. Ihe ndị a na-ewe iwe ụda akwara mmetụta dị na anụ ahụ dị n'okpuru, na-ewepụ ihe mgbu.
Ndị ọrụ dị otú ahụ nwere mmetụta na-awagharị, tinyere nnukwu nsogbu, nke na-ekpo ọkụ na-ekpo ọkụ. Sitekwa site na imeziwanye ọbara na akwara anụ ahụ na nri, mgbake ha ngwa ngwa na-eme.
A na-etinyekarị ọgwụ ndị na-ewe iwe n'akụkụ ndị ọrịa iji belata usoro ọgwụgwọ nke usoro ọdịnala ma belata ibu ọgwụ na ahụ.
Ọgwụ iji meziwanye microcilciculation
Pụtara maka imeziwanye mgbasa ọbara na ọgwụgwọ osteochondrosis nke ọnọdụ ọ bụla. Ma, maka usoro ọgwụgwọ cervical, ha na-achọkarị ọtụtụ mgbe. N'akụkụ a nke spain, mkpakọ akwara na-eri nri na oxygen na ụbụrụ na-abụkarị. Usoro ọgwụ ndị a na-enyere aka iweghachi ọkọlọtọ ọbara:
- Xanthinol nicotinate, nke na-eme ka microcilculation, oxygen, nri nke anụ ahụ na akụkụ ụbụrụ niile;
- Pentikoflline, nke na-ebelata viscosis n'ọbara na mkpokọta nke platelet na sel ọbara ọbara, na-eme ka ihe ndị na-acha ọbara ọbara nke ọbara (mmiri);
- Aminophline, nke na - ebelata esemokwu na mgbidi vaskụla ma na - akwalite mgbasa nke arịa.
A na-ejikarị nkwadebe nwere acid na-eme ka ọ dịkwuo mma iji mee ka otitarị. Ha nwere mmetụta dị elu, weghachi ọrụ nke ọkpụkpụ nke mgbọrọgwụ, melite traopsis na infhuru.
Vitamin
Iji meziwanye ọdịmma mmadụ, mee ka ihe nchekwa nke anụ ahụ sie ike maka ihe ndị dị mkpa maka ọdịbendị anụ ahụ, a na-enye ndị ọrịa ezigbo nguzozi nke vitamin na ndị nje. O zuru ezu iji otu mbadamba ọgwụ ọ bụla kwa ụbọchị iji kpochapụ ụkọ ahụ.
Ma a na-eji ọgwụ nje na-eme nke ọma na-ejikarị ọgwụ osteochondrosis cervical. Ihe mejupụtara nke ndọkpụ, na mgbakwunye na pyredoxine, cynacobalamimamin, gụnyere lidocaine aesthetic. Enwere ike ịmepe vitamin na mbadamba. Usoro ụzọ ha na-eji meziwanye nfe nke akwara na-akpali usoro ebumpụta ụwa nke bu mgbake.

Chopropromectors
Nke a bụ naanị ọgwụ ọgwụ a na-eji eme maka ọgwụgwọ pathogenitic nke cersteochondrosis cervicalrosis. Na mbido mmalite nke mmepe pectrology, a na-eji chondroproptors maka mweghachi nke onye na-adịghị mma. Mmetụta a bụ n'ihi ikike nke chodrotan na glucosamine iji kpalie njikọ nke mkpụrụ osisi hhalugram (na-arụ ọrụ niile), na-egbochi mbibi mbipụta ha.
A na-enyekwa chondroprorectors na ndị ọrịa na klas nke 2 na 3 osteochondrosis. N'oge a, anụ ahụ tatrilage abụghịzi imeghe. Ma ị toụ ọgwụ ọjọọ na doses ruo 800 mg na-egbochi mgbanwe ndị ọzọ na-emebi ihe. Ogologo oge nke ọgwụgwọ ahụ dị ọnwa atọ. Mgbe ha jiri ngwaahịa ahụ mee ihe maka izu abụọ, ha na-akpọ akpọ ọgwụ mkpali na mmetụta Analgessic na-egosi.
Ihe ndị metụtara ọgwụ ọjọọ na ọrụ chondroprototictive maka ọgwụgwọ nke osteochondrosis cervical:
- Glucosamine sulfate ma ọ bụ hydrochloride;
- Chondroitin sulfate;
- Glucosamine na chindroitin;
- Ihe ọkụkụ ma ọ bụ nke anụmanụ.
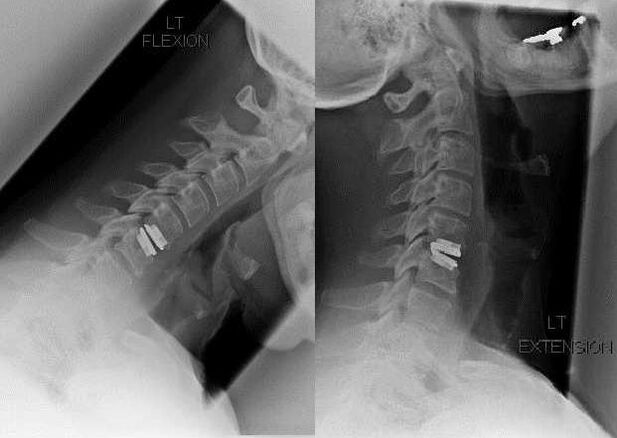
Ntinye
Ihe ngosi maka itinye aka na ịwa ahụ gụnyere ịgwọ ọrịa osteochondrosis, dịka ihe atụ, disfulath akwara, na radicular ọrịa. Iji degharịa eriri azụ, arịa ọbara, na mgbọrọgwụ spadinal, a na-arụ ọrụ ndị a:
- lamictomy;
- Lisimotomy;
- Caranotomy;
- facetectomisy;
- discoctomi.

N'oge awa ahụ, iberibe ọkpụkpụ na ligam nwere ike iwepụta, yana diski interfetral nwere ike ịbụ kpam kpam ma ọ bụ wepụrụ. Maka obere ụlọ ọgwụ, na -adị veporization nke diski diski a na-arụ.
Mgbe ịchasịrị nke vertebral owuwe, mma nke akụkụ ngagharị na-abụkarị site na ngwakọta spain ma ọ bụ nrụnye nke ọkpụkpụ na dermal.
Ịhịa aka n'ahụ na ịhịa aka onwe gị
E nwere ọtụtụ ụdị ọgwụgwọ ọgwụgwọ ndị a, mana maka cervical osteochondrosis, kpochapụwo, acrespressure, oghere (gụnyere ngwaike na-ejikarịkarị. Ihe eji eme ya n'azụ olu, ubu, na azụ na-enye gị ohere ime ka ịmịnye ọkụ rọrọ, kpochapụ mkpọchi dị egwu, na-ewusi olu ike, na akwara ọkpụkpụ. A na-eji ịhịa aka n'ahụ bụghị naanị iji gwọ ọrịa ahụ, kamakwa igbochi nlọghachi ya.
A ga-ebu ịhịa aka nke onwe ya site na ijiji, stroking, na-ete azụ nke olu nke 10-15 minit. Mana ọ ka mma ịzụta ngwaọrụ eletriki pụrụ iche na ụlọ ahịa ọgwụ ma ọ bụ ụlọ ahịa akụrụngwa - ndị na - arụ ọrụ nwere ohere dị mma na ndị na - achịkwa ọsọ ọsọ.
Mmega ahụ dị mgbagwoju anya
Dọkịta na-ahụ maka anụ ahụ na-ahọrọ na-eme omume n'otu n'otu maka onye ọrịa, na-eburu n'uche ogo ọrịa ahụ na nsogbu zụlitere. Otu n'ime njirisi bụ ugboro ole nke nkwuputa ihe nkwuputa. Akụkụ ahụ dị mgbagwoju anya gụnyere ihe omume ndị a:
- Clepụ mkpịsị aka gị ma tinye aka gị n'egedege ihu gị. Pịa aka gị n'isi gị, na-anwa imeghachi ya, na-enye ya iguzogide n'ihi esemokwu n'olulu;
- Jiri mkpịsị aka gị kpuchie aka gị na azụ gị. Pịa aka gị na ya, dị ka a ga - asị na ọ na - achọ ịta isi gị. N'otu oge ahụ, mebie akwara olu nke olu na ubu, na-anwa ijigide ọnọdụ mbụ nke isi;
- Debe nkwụ gị na ntì gị. Gbalịa tufuo isi gị n'ubu gị, iguzogide gị. Ikwughachi mmega ahụ n'akụkụ nke ọzọ.
Usoro mmega ahụ oge niile bụ ụzọ kachasị dị irè iji kpochapụ ihe mgbaàmà nke osteochondrosis nke cersteochondrosis na-egbochi ya. Ọzụzụ kwa ụbọchị na-akpali ike nke colTet cold, nke na-eguzosi ike na diski na vertebrae. Sitekwa site na imeziwanye mgbasa ọbara n'ime anụ ahụ, ihe ndị na-edozi ahụ na-enyo enyo.
Akwụkwọ ntuziaka
Chirapractor na-akwado onye ọrịa maka ndị na-abịanụ, na-amalite nnọkọ ahụ na ịhịa aka na-atọ ụtọ. Mgbe ahụ, jiri ezigbo mmegharị, ọ na-agbatị akwara ma kpochapụ esemokwu ha nke ukwuu. N'ihi nke a, akwara na-apụ n'anya, na-akpata mmụba mgbe akpịrị na-acha uhie uhie. Mkpakọ nke akwara na akwara osisi kpochapụrụ, yana mgbaàmà akwara. Chiropractor na-agbanwe vervical vertebrae ma ọ bụrụ na ọ dị mkpa. Enwere ike ijikọ nke a site na ịgwụ mmiri, ịgbaji, na mmụba nke ogo ahụ na-egbu mgbu.
Otu ụzọ isi zere ịwa ahụ bụ ịgbatị (traction) spain ka ịbawanye anya n'etiti anụ arụ na diski mebiri emebi. A na-eme usoro a na tebụl pụrụ iche site na chiropractor. Mana ndị kachasị ewu ewu na mmiri dị n'okpuru mmiri ma ọ bụ ọdọ mmiri.
Igba okpukpu
Nke a bụ otu n'ime ụdị mmagharị a tụrụ aro ka ndị ọrịa weghachi agagharị nke ihe mgbakọ na-efe efe ma melite mgbasa ọbara. N'oge nnọkọ ahụ, a na-eji ezigbo mkpakọ nke ogologo ogologo, ọlaọcha, na ọla edo. A na-etinye ha na isi ihe ndị na-arụsi ọrụ ike nke dị nso ọ bụghị naanị n'azụ olu, kamakwa na azụ, ubu, na aka.

Mgbe agịga agịịrị, a na-etinye ihe mgbu na-adịghị ike na-amalite ịbanye n'usoro akwara dị iche iche. Azịza nke ahụ bụ mwepụta nke ihe ndị na-eme achịcha na-emetụta ihe ndị na-egbu egbu na ihe mgbochi mkpali n'ime mgbasa. Mmepụta nke endorphins na-abawanye, nke ukwuu na-emezi ọdịmma onye ọrịa.
Usoro ọgwụgwọ ỌThopedic
Site na ụbọchị ndị mbụ ọgwụgwọ, a na-adụ ndị ọrịa ọdụ ka ha yie ngwaọrụ orthopedic - ndị na-akụ ya. Ha kwesịrị ka ha yie obere awa, a ga-ewepụrịrị tupu ha lakpuo ụra ma ọ bụ n'ụbọchị. Collars nwere ike na-emebi plastic ma ọ bụ ntinye ọla, siri ike, ma ọ bụ daa. Ngwaọrụ dịgasị iche iche na ịdị elu, ogo ndozi, na imewe ngwa. Ogo nke olu olu onye ọrịa ahụ kpebisiri ike naanị site na ụlọ ọgwụ verterabra, onye na-eburu n'uche ogo ihe mgbaàmà nke osteochondrosis na ohere nke ihe owuwu.

A na-atụ aro ndị ọrịa ịzụta matraasi nke ihe ike. Ka ị na-ezu ike na ya, ọ dịghị emebi emebi n'ọkpụkpụ ọbara, cartilage, na anụ ahụ dị nro. Ndị dọkịta na-adụ ọdụ na ohiri isi nke athopedic ya na ezumike pụrụ iche maka isi.
Usoro ọgwụgwọ ndị mmadụ na Ezi ntụziaka
Mgbe ọgwụgwọ ndị ọkachamara na-eme ihe na mwepụ nke mgbaàmà niile, a na-eji usoro ọgwụgwọ ndị mmadụ. Ekwesịrị iji obi gị niile mee ihe n'ụlọ ha.
Mmanụ mmanụ mmanụ a honeyụ
Debe tablespoon nke ihe ọiceụ aloe na lanolin na ngwa agha ma ghee ruo mgbe e guzobere uka. Tinye teaspoon nke turpentine, mmiri dị mkpa nke eucostalis, paini, Rosemary, 30 g nke oké ifuru, 30 g nke oké ifuru, bido. Na-enweghị ịkwụsị iji teepu, webata 100 g nke ọgwụ vaseline na obere akụkụ. A na-ete mmanụ na anụ ahụ nke olu mgbe ahụ erughị ala.
Epupụta Horseradish
Ahịhịa ọhụrụ nke horseradish a na-afụ nke ọma, manyere ya na oké mmanụ a honeyụ, ma tinye ya na azụ olu. Chekwaa mpikota onu na kechie plastik, akwa na-ekpo ọkụ na gauze bange. Ogologo oge nke usoro bụ awa 1-2.
Ndị ọzọ ahịhịa
Na ngwa agha, akwụkwọ ọhụrụ nke osisi, dandelion, burdock, cinquefol, na Elecape dị ala na pasteka. Na-enweghị ịkwụsịsi ike ịgwụ, gbakwunye di na nwunye nke juniper na thyme, a tablespoon nke cosmetic cosmond cosmond. Itinye uka na azu nke olu, chekwaa mpio na ihe nkiri na bandeeji ahụike, ma hapụ otu awa.
Ụzọ iji gbochie ọrịa ahụ
Osteochondrosis bụ ọrịa na-emebi ihe nke na-eme na mbụ nke mbibi nke na-eji nwayọ na ọkpụkpụ. Ọ dị mkpa ka ewepu site na ihe ndị dị ndụ na mbụ na-akpasu iwe na-akpasure ihe anụ ahụ cartilage. Ndị a bụ mmega ahụ dị obere, ibu ibu, imega ahụ dị oke ọnụ, na ụkọ nri dị elu na microlinement na vitamin.



























